What Benco is doing about Tariffs. Learn More

Why Dental Offices Should Be Equipped With CBCT Scanners

Just like every start-up business, a newly established dental clinic will have to make a number of decisions regarding the latest technological devices that may give it an edge against the competition.

One such piece of dental equipment is the Cone-beam Computed Tomography X-ray scanner.

These machines are currently used by dental clinics to accurately pin-point treatment options for patients and have been making waves in the dental profession since the early 2000s. In recent years, since its introduction to the market, CBCT X-rays have become the standard device used for dental clinic applications such as implants, root canals, and cavity diagnosis.

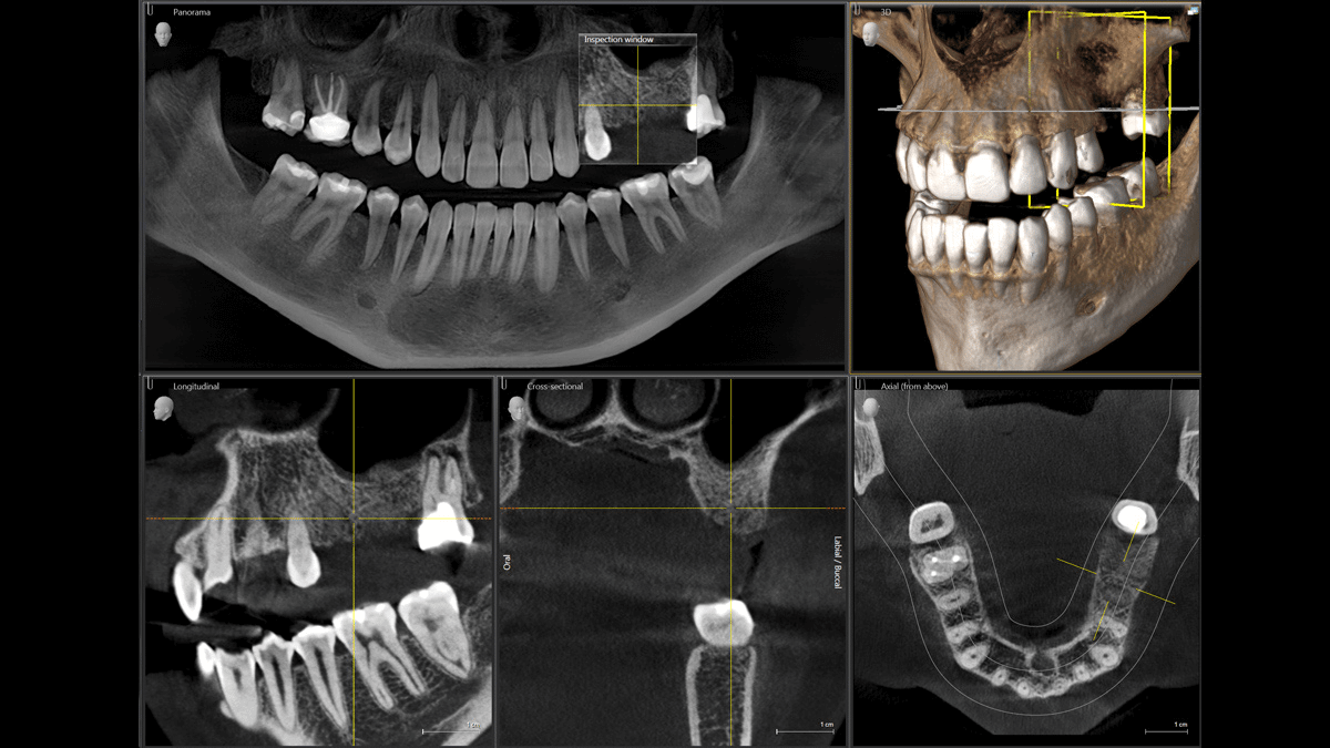
What Is a Cone-Beam Computed Tomography Scanner?

These scanners, equipped with a rotating C-arm, an X-ray image intensifier containing an x-ray source and detector, are used to achieve a more precise treatment that regular dental or facial X-rays are not able to obtain.

The main procedure involves capturing a patient’s data by scanning and generating 3-D images of dental structures, soft tissues, nerve paths, and abnormalities in the craniofacial region.

Frequent Procedures Done With CBCT Scanners:

  • 3-D observation of overall oral/facial bony characteristics, allowing easier diagnosis and placement of dental implants
  • Surgical guided fabrication for implant placement
  • 3-D observation of teeth for endodontic diagnosis and treatment
  • Diagnosis and treatment of tooth impactions
  • Integration with CAD/CAM devices for the fabrication of prosthodontics or orthodontic appliances

CBCT scanning systems are rapidly developing with each day, and it is safe to say that it will play a big part in dental practice for quality patient care in the foreseeable future.  Start-up dental clinics should see this equipment as a must-have. Contact Benco Dental today to discuss your options.

Factors to Consider Before Purchasing a CBCT Scanner

Acquiring a CBCT Scanner for your dental clinic is not a decision that should be taken lightly. While a CBCT scanner may attract its fair share of patients, a return of investments may take longer than expected.

So, before deciding to purchase a CBCT Scanner, here are some of the factors that dental clinics should consider:

Initial Cost and Efficiency

A CBCT system usually costs around $80,000-$100,000. It can be expensive for a start-up dental practice, but it does propel a dental clinic ahead of the curve against those that do not offer 3-D imaging.

A start-up dental office, based on operational trends, should project the frequency of use for a CBCT scanner. Below average projections in usage frequency should suggest that it may not be the right time to purchase this equipment.

Office Space Consumption

One key factor to take into consideration when investing in CBCT Scanners is how much office space it will consume. Start-up dental clinics should be prudent enough to foresee that purchasing a scanner can lead to extra cost in rearranging office space when installing the device.

Learning Process

It takes time, effort, experience, and willingness to master a CBCT scanner.  Start-up dental clinics should also take into consideration interrupted office routines while clinic staff and dentists learn the CBCT protocols.

With that said, once the CBCT is fully implemented and operational, your patients will be at the cutting edge of dental care. Visit Benco Dental for more in-depth information.

MORE FROM BENCO DENTAL U

Articles
What Dental Offices Should Consider Before Installing Cabinets
Large Equipment

Nowadays, it is important to overall office aesthetics that dental practitioners consider the placement and design when establishing or renovating their clinics[...]

Articles
Understanding 2D Handheld X-Ray Technology
Imaging

This article explores the benefits and applications of 2D handheld X-ray technology in modern dental practices. By delving into the advantages and practical use[...]

Articles
Dental Office Maintenance Checklist: Ensuring a Clean & Safe Environment 
Large Equipment

Dental equipment maintenance safeguards your practice from costly repairs and downtimes. Most importantly, it protects patients during surgeries and ultimately [...]

Articles
A Guide On Dental Office Lighting
Large Equipment

Proper lighting in dental offices plays a vital role in ensuring optimal patient care and clinical outcomes. As dental professionals, we rely on good lighting t[...]

Articles
How to Contract an HVAC/Mechanical Engineer/General Contractor
Budgeting/Investments

You’ve built a new practice and want to install an in-duct purification solution. How do you choose the best technician, engineer, or contractor for the job? [...]

Articles
5 Things to Consider Before Buying an Extraoral Suction System
Large Equipment

The threat of virus transmission due to aerosol-generating procedures (AGPs) in the dental industry is not new. But with the rise of COVID-19, dental practition[...]

Get the latest and greatest dentistry content delivered straight to your inbox

Loading IconLOADING FORM...